「原因」にアプローチした治療で
再発を徹底的に防ぎます
- お薬で治す「歯周内科治療」
- 抜歯を防ぐ「歯周組織再生療法」
- 短期間で治療が完了する「FMD」にも対応
セカンドオピニオンもお任せください!
セカンドオピニオンもお任せください!

歯周病は大した自覚症状もないまま静かに進行し、やがて歯が抜けてしまう恐ろしい病気です。
令和4年の厚生労働省の調査では、全体の47.9%の方に歯周病の兆候が見られたと報告されていますし、私たち歯科医師の目から見ても、日本人が歯を失う一番の原因は歯周病です。
国民病だといっても過言ではない罹患率ですので、このページを訪れている方の多くも、今現在歯周病でお悩みなのではないでしょうか。
ですが、歯周病は原因と治療方法が分かっているので、治すことができる病気です。生活習慣を改善し、原因菌に対処することで治療できます。
ここからは当院の歯周病治療について詳しくご紹介します。

歯周病は歯茎の中で起こる病気なので、お口の中を覗いただけでは様子が分かりません。また、歯周病は細菌による感染症ですが、原因となる菌は複数種類あり、菌の種類によっても効果的な治療方法が異なります。
そのため当院では、CT検査や唾液検査などで歯周病の進み具合や原因を調べ、症状や原因に合わせた治療を行います。

歯周ポケットの深さを調べると、おおよその症状の進み具合が分かります。歯周ポケットが4㎜以上になると、歯周病が疑われます。

歯周病が進むと、最終的には歯を支えている骨が溶けてきます。しかし、骨は外からは見えないため、歯周病の検査ではX線撮影も必要になります。
レントゲンで検査する方法が一般的ですが、当院では「CT」を使います。お口やあごの骨の状態を立体的に撮影できるので、平面画像のレントゲンよりも患部の様子を詳しく捉えられます。

唾液検査では、お口の中の菌の種類や数が調べられます。口腔細菌叢の状態を知ることで、虫歯・歯周病リスクが分かるので、患者さんに合った予防・治療計画が立てられます。

歯周病の原因菌の種類を特定するための検査です。この検査を行うことによって、菌の種類ごとに効果的な治療が行えます。

歯周病は細菌による感染症ですので、毎日の歯磨きでお口を清潔に保つことが大切です。ですが、歯と歯の間の汚れや歯周ポケット奥深くに溜まった歯石など、歯磨きでは落とせない汚れもあります。
こうした汚れを落とすには、歯科医院でのクリーニング「PMTC(Professional Machine Tooth Cleaning)」が必要です。
当院では口腔ケアの専門家である歯科衛生士が、専用の器具や機械を使い、歯石や歯垢を丁寧に除去します。

歯周病菌の種類によっては、抗生物質を内服する方法が効果的です。当院では抗生物質が効くタイプの細菌が多い患者さんには、「ジスロマック」などの飲み薬を処方しています。

歯周病治療では一般的に、お口の中を6つのエリアに分け、1エリアずつ治療を行います。週に1回通うとして、すべてのエリアを治療するのに約1~2ヶ月かかります。
しかし、歯周病菌は2週間ほどで繁殖します。そのため、歯科医院に通っている途中で、治療が済んだはずのエリアに歯周病が再発することがあります。
この問題を解決するため、黄の繁殖を抑えるのが「FMD」です。抗生物質の一種で、お口の中を徹底的に除菌するので、治療中に再発する心配がなくなります。
「再発するのでいつまで経っても歯周病治療が終わらない」といったことがなくなり、患者さんの負担も軽減できます。
歯周病が進んで歯を支えている骨が溶けると、歯がグラグラしてきて、最終的には抜け落ちてしまいます。この状態まで進んだ歯周病では、歯科医院でも抜歯の選択をするところが多いです。
ですが、骨を再生させ、歯を安定させることができれば、抜歯の必要はなくなります。
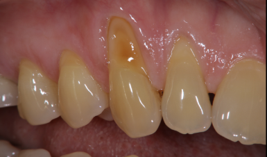
当院ではこうした症例で抜歯を防ぐための治療方法として、「エムドゲイン」を使用した「歯周組織再生療法」を行っています。

「エムドゲイン」は、患部に塗布することで骨の再生を促す薬剤です。骨を再生させる特殊なたんぱく質が含まれており、個人差がありますが約数ヶ月程度で骨が再生し、歯が安定します。
この治療を行うときは歯茎を切開し、そこから直接、骨に薬剤を塗布します。
下の画像は、エムドゲインによって骨が再生する様子です。

歯周病が進んでポケットが深くなると、普通の器具では届かない奥の方にも歯石が溜まっていきます。溜まった歯石を放置すれば、歯周病はますます悪化し、抜歯のリスクも高まります。
ですが、「歯周外科治療」を用いれば、こうした症例の歯石も取り除くことができます。
これもいくつかのやり方がありますが、当院では「FOP法」という術式を採用しています。
歯肉を切開して、歯周ポケット奥の歯石を直接除去する方法です。歯石などの汚れがなくなると炎症が改善するので、歯周ポケットも徐々に浅くなっていきます。


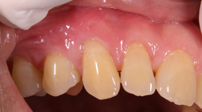
歯周病が進んで歯肉が失われると、歯が長く見えます。見た目の問題もありますが、本来であれば歯肉に隠れているはずの部分が露出することで、「知覚過敏」などの問題も出てきます。
当院ではこうした症例を改善する方法として、「歯肉移植術」を行っています。上あごなどお口の中の他の部分の肉を移植することで、失われた歯肉を修復します。
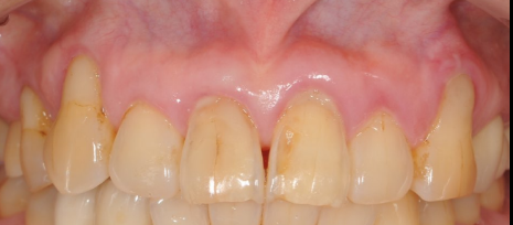
歯根被覆(しこんひふく)とは、歯周病が進行し、歯肉が後退して露出した歯の根(根面)の審美性の回復と保護を目的に行う治療法の一つです。
歯根被覆の術式はさまざまありますが、当院では、ピンボールサージェリーと呼ばれる歯肉に小さな穴を開けて、特殊な器具を使用して歯茎を移植する術式を採用しています。
小さな穴を開けるだけですので、切開や縫合の必要がなく、痛みや腫れも少なくすみます。また、治療後の回復も早いため、患者さんにとって負担の少ない術式だと言えます。
歯茎が下がってきて気になる方は、一度当院にご相談ください。





当院では「歯科衛生士担当制」を採用しています。歯周病の治療には生活習慣の改善も必要で、その部分のアドバイスなどは口腔ケアのプロである歯科衛生士が行います。
それには専属の歯科衛生士が付くことで、患者さんのことをよく知り、継続的なケアができることが望ましいのです。

歯周病は一度かかると再発しやすいこともあり、お口のトラブルの中でも悩んでいる方が特に多い疾患の一つです。そして、歯周病は感染症であると同時に生活習慣病でもあるため、改善するには適切な治療と、歯磨きなどご自宅での正しいケアが必要です。
ですが、この辺りが上手くいっていないために、治療に通ってもなかなか治らないという方も少なくありません。
もしもこんなお悩みをお持ちでしたら、ぜひ当院にご相談ください。当院ではセカンドオピニオンも受け付けておりますので、他院で治療中の方もご相談いただけます。
当院では、患者さんが抱えていらっしゃるお口のお悩みや疑問・不安などにお応えする機会を設けております。どんなことでも構いませんので、私たちにお話ししていただけたらと思います。
ご興味がある方は下記からお問い合わせください。