口元の印象は
お顔全体の印象も左右します

下記に当てはまる方、当院にお任せください
- 銀歯を白くしたい
- 芸能人のような白い歯を手に入れたい
- 天然歯と馴染む歯を手に入れたい

下記に当てはまる方、当院にお任せください





当院のセラミック治療は、見た目の美しさだけではなく機能性も追求しています。
具体的には、治療前に必ずお顔の写真を撮影します。お顔からおおよその治療難易度を把握した上で、右の図にある各種検査を行い、治療計画を立案していきます。
こうすることで、美しくしっかり噛める歯を手に入れることができます。

当院のセラミック治療には、次の特徴があります。
それぞれご説明します。

当院のセラミック治療では単に仕上がりがよいだけでなく、美しさを長続きさせることを重視しています。
そのためには、セラミック治療を始める前の「初期治療」も非常に重要です。初期治療とは、虫歯・歯周病の治療のことです。虫歯や歯周病を放置したままセラミック治療だけを行っても、症状の進行によって歯がぐらつくなどして、当初の仕上がりを維持することが難しくなってしまいます。
また、例えば歯周病で歯茎が腫れた状態のまま型を取れば、それがセラミックの被せものにも影響するため、本当にお口に合った被せものにはなりません。
セラミック治療を希望される方は、「今すぐきれいになれるもの」というイメージをお持ちの方も多いと思います。ですが、高い費用をかけた治療がすぐにダメになってしまってはもったいないですし、お口の健康にもよくありません。
当院では「美しく健康な歯」を提供したいと考えておりますので、どうぞご理解ください。

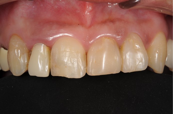
口元の美しさは歯だけでなく、「歯肉」の状態も大きく影響します。そのため当院では、歯肉を美しく整えるための治療も行っています。
左の画像は「歯肉移植術」によって、「歯肉」のバランスを整えた症例です。歯だけを治療しても、この状態にはなれません。
歯肉の美しさには、歯の根元部分を覆っている「生物的幅径」が重要になるため、そこを考慮しながら調整を行っています。
なお、歯肉移植術はすべての歯科医院で行っているものではなく、できる医院が限られています。歯茎の美しさも気になる方は、ぜひ当院にご相談ください。
また、口元の美しさを実現するための、当院では以下の3つのポイントも考慮しながら、治療計画を立てています。

美しい口元の条件の一つは、前歯のアーチが下唇のアーチと一致していることです。
著書:山崎長郎 クインテッセンス出版:エステティック クラシフィケーションズより引用

上前歯の横幅の比率は、「中切歯1.6:側切歯1:犬歯0.6」のバランスがもっとも美しいとされています。

顔を左右に分ける真ん中のラインを「正中線」といいます。前歯の中心を正中線に重ねると、左右対称に近づくので、バランスよく見えます。
セラミック治療では、被せものと歯の間に隙間ができてしまうことがあります。そうすると隙間から虫歯菌が侵入し、治療した歯が虫歯になってしまいます。そうなっては虫歯を削らなければならず、せっかくの被せものも合わなくなって作り直しです。


当院ではそうしたことを防ぐため、治療の際は「マイクロスコープ」と「高倍率ルーペ」を使用しています。どちらも歯科治療の術野を拡大するためのもので、患部を十数倍に拡大して見ることができます。
歯や被せものの凹凸まで鮮やかに視認できるので、小さな隙間も見落とすことなく、お口にぴったり合った被せものを提供できます。

セラミック治療では、患者さんの「美しい口元になりたい」という願いを叶えることが大切です。ですが、一口に「美しい口元」といっても、人によって具体的な理想像は異なります。
また、患者さんが思い描く「主観的な美しさ」と、私たちプロの視点から見た「客観的な美しさ」が、一致しないことも多々あります。
患者さんと歯科医師のイメージが食い違ったまま治療を進めれば、不満足な結果になってしまいます。
当院ではそうしたことを避けるため、工程ごとに患者さんと「イメージのすり合わせ」を行いながら治療を進めていきます。

治療を始める前に、まずはカウンセリングを行い、患者さんの理想や治療に求めることをしっかりヒアリングします。その上で、模型や症例写真をご覧いただきながら、具体的なイメージを固めていきます。
雑誌の切り抜きなどを見本としてお持ちいただくこともできます。

カウンセリングでご納得いただけたら歯の型を取り、患者さんの歯型をもとに模型を作ります。これを「セットアップ模型」といいます。
セットアップ模型を使い、患者さんと一緒に歯の形や位置などを詳しくシミュレーションします。ご自身の歯型でシミュレーションするので、治療後のイメージを正確に把握していただけます。

最終的な被せものを作る前に、「仮歯」を入れてイメージの最終確認を行います。
これらを確認し、噛み合わせの微調整を行った上、患者さんにご納得いただければ最終的な被せものの製作に入ります。

セラミック治療では患者さんのお口に合わせて被せものを作るため、歯の型取りが不可欠です。しかし、従来の「印象材」という粘度のようなものを使う方法は、患者さんにとって苦しい上に、精度もあまり高くありませんでした。
そのため当院の型取りでは、「光学印象」を採用しています。ペン型カメラでお口の中をスキャニングすることで型を取るので、精度の高い型取りができます。
お口に印象材を詰める必要がないので、嘔吐反射が強い患者さんにも安心していただけます。

被せものを実際に作るのは、歯科医師ではなく歯科技工士の仕事です。そのため、セラミック治療では歯科医師だけでなく、歯科技工士の技術力も治療の満足度を大きく左右します。
当院では高品質な被せものを提供するため、技術力の高い歯科技工士と連携しています。
従来のセラミック治療は、被せものを作る工程だけで2~3回の来院が必要でした。しかし、当院で導入しているセレックシステムを使えば、当日中にセラミックの被せものを作れます。
就職活動などで「すぐに白い歯にしたい」という方は、どうぞご相談ください。
※症例によっては1日で治療が終わらないこともあります。詳しくは当院までお問い合わせください。

従来のセラミック治療は、被せものを作る工程だけで2~3回の来院が必要でした。しかし、当院で導入しているセレックシステムを使えば、当日中にセラミックの被せものを作れます。
就職活動などで「すぐに白い歯にしたい」という方は、どうぞご相談ください。
※症例によっては1日で治療が終わらないこともあります。詳しくは当院までお問い合わせください。
当院では、患者さんが抱えていらっしゃるお口のお悩みや疑問・不安などにお応えする機会を設けております。どんなことでも構いませんので、私たちにお話ししていただけたらと思います。
ご興味がある方は下記からお問い合わせください。