「納得」いただけるまで説明

「先生が高圧的でイヤだった」「他院で説明を受けずに治療されてイヤだった」という方もご安心ください。

「名古屋駅」から徒歩2分名古屋ビル5F


次の症状ありませんか?



当院の「咬合診断法」により
長年、悩まれていた次のような
症状改善を見込めます。
※セファロ/CT、マウント模型は必要に応じての検査となります

治療後、再発する方は噛み合わせに問題があることも。磨きにくい部分があったり、歯周ポケットが深くなることが原因です。

咬合のバランスが悪いと特定の部位に強い力加わります。それが原因で被せ物が壊れてしまうことも。

咬合を考慮してない矯正治療・入れ歯・インプラントでは噛めません。適切な咬合調整で噛めるようになります。

咬合が原因で顎関節症や睡眠時無呼吸症候群になることがあります。咬合調整でこれらの症状も改善することも。
BEAUTIFUL TEETH
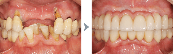
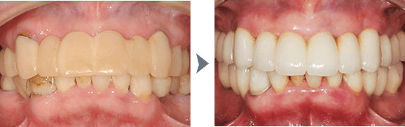
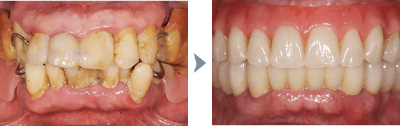
実際の治療成果をご覧ください

歯周病などで歯肉が退化し口腔内がボロボロになってしまった状態へ全顎でインプラントを入れた症例。

胃食道逆流症による酸食が原因で咬合が崩壊してしまった患者さんも再び自然で美しい歯を再獲得。

上顎4歯を失い歯並びもガタガタになってしまった患者さんへの全顎インプラント治療例。

質の悪い保険のブリッジ治療で見栄えも良くない状態からのインプラント治療の症例。

咬合状態が崩壊してしまっている患者さんへのデンチャーとインプラントの複合治療例。

悪い歯並びで前歯の歯根から治療が必要な状態から成人矯正とインプラントの複合治療例。

当院の治療を支える専門性の高いスタッフ




必ずこの3つを実施しています

「先生が高圧的でイヤだった」「他院で説明を受けずに治療されてイヤだった」という方もご安心ください。

「よくわからない高額な治療ばかり勧めてくる」と不満をお持ちの方でも当院なら大丈夫です。
VIEW MORE
愛知県名古屋市中村区名駅の歯医者「飯田歯科」は患者さんからしばしば「先生に、もっと早く出会いたかった」とのお声を頂きます。当院では痛みの苦手な方へ2ステップの麻酔と睡眠無痛治療を、歯医者に不信感をお持ちの方にはしっかりとした説明責任を果たすこと、忙しくなかなか来院できない方には精密機器と再生療法を活用した短期集中治療を実施。名古屋駅から徒歩2分。月曜から金曜まで平日は毎日、診療しています。
歯科医師を指導する
インストラクターが担当します

名古屋市中村区名駅の歯医者「飯田歯科」では、40代から60代の女性・男性を中心に咬合や審美性まで追及した専門治療を実施。
歯の治療はもちろん、お顔の美しさ・若々しさまで取り戻せます。

UCLA歯学部補綴科インプラント専門家が担当
歯科医師向けのインストラクターも行っている院長が必ずオペを担当。オペ後、痛くない/腫れないで高評価。

口元が10歳、若返ります
虫歯や歯周病でお口の中全体がボロボロになり、口元も老けてしまった方でも当院なら若々しい口元への改善が可能です。

米国で学んだ咬合の専門家が治療
女性に多い顎関節症。当院では咬み合わせの状態を世界基準の分析法で綿密に分析し、患者さんに最適な治療を実施。

米国UCLA仕込みのオーバーデンチャーにも対応
噛める・痛くない・外れない入れ歯は当然のこと。当院では「口元を10歳若返らせる」ことをテーマに入れ歯を製作してます。

滅菌専門のスタッフが責任を持って、
器具の滅菌処理を行なっています。

あらゆる器具を確実に滅菌処理するために、クラスBオートクレーブ滅菌器(最も厳しいユーロの滅菌基準)、ガス殺菌器およびミーレジェットウオッシャー洗浄消毒器を完備

患者様ごとにカバーを交換し感染対策
クレジット、電子マネー、デンタルローンに対応。

デンタルローンは最大120回までの分割にも対応しています
すべてお聞きします
SECOND OPINION
初診「個別」相談
「こうしたい」「こうなりたい」
「これはイヤ」「これは止めてほしい」
どんな小さなことでも構いません。
あなたの願い、本音を聞かせてください。
当院はすべて受け入れます。





医院からのお知らせ
診療スケジュール
愛知県名古屋市中村区の歯医者「飯田歯科」のホームページをご覧いただき誠にありがとうございました。当院ではアメリカで学び世界的に活躍する院長によるインプラントや入れ歯治療、ボロボロの歯の改善、咬合から考える矯正治療、マウスピース矯正、睡眠時無呼吸症候群、顎関節症/食いしばり/歯ぎしりの治療、機能性と審美性を両立させるセラミック治療、接着性ブリッジ、ホワイトニング、ガミースマイルの改善、口腔内の三大疾患と言われる虫歯治療、根管治療、歯周病治療、歯と健康の寿命を伸ばす予防歯科、歯科ドックなどの治療を実施。40代から60代の女性、男性に大変、好評を頂いております。名古屋ビル5F、名古屋駅から徒歩2分。月曜から金曜まで平日は毎日診療しているので、仕事の合間に、仕事帰りに治療をお受けいただけます。